Tag der Radiologie
Herzlich willkommen zum virtuellen Tag der Radiologie am Universitätsspital Basel.
Wir geben Einblick, wie bildgebende und
-gesteuerte Verfahren die Medizin verändert haben, wie diese zu Diagnose, Behandlung und Kontrolle von Krankheiten beitragen, und welche technischen Innovationen die moderne Radiologie prägen.
70
70 Dozent*innen unterrichten circa 1200 Medizinstudierende und weitere Fachpersonen. Sie vermitteln medizinisches, technisches und naturwissenschaftliches Wissen.
400
Terabyte. So gross ist unser Bildarchivierungs- und Informationssystem. Das ist so umfangreich wie 200‘000 Stunden Video in Fernsehqualität.
1700
individuelle 3D-Modelle haben wir 2023 hergestellt. Diese werden anhand medizinischer Bilddaten anatomisch präzise hergestellt und zur Operationsplanung, Patient*inneninformation und Lehre eingesetzt.
3,6 Mrd.
Weltweit werden jährlich über 3,6 Milliarden bildgebende Untersuchungen, wie Röntgen, CT und MRT, durchgeführt.
Der 8. November 1895: die Entdeckung der Röntgenstrahlen
Der Physiker Wilhelm Conrad Röntgen entdeckte zufällig die Röntgenstrahlen, als er elektrische Ladungen in einer fast luftleeren Glasröhre untersuchte. Und plötzlich die Knochen seiner Hand sah.
Zum Jahrestag der von ihm «X-Strahlen» genannten Entdeckung wird weltweit der «International Day of Radiology» gefeiert.
Warum feiern wir den Tag der Radiologie?
Mit dem Tag wird die Bedeutung der Radiologie für die medizinische Versorgung gewürdigt. Zudem wird die Arbeit der Fachleute, die in diesem Bereich tätig sind, hervorgehoben.
Mittlerweile feiern fast 200 Gesellschaften den Tag, der 2012 als gemeinsame Initiative der European Society of Radiology (ESR), der Radiological Society of North America (RSNA) und des American College of Radiology (ACR) eingeführt wurde.
Was ist Radiologie?
Unter Radiologie versteht man das medizinische Fachgebiet, das eine Vielzahl technischer Verfahren nutzt, um Bilder für diagnostische, therapeutische und wissenschaftliche Zwecke zu gewinnen.
Die Verfahren werden als bildgebend oder bildgesteuert (falls die Bilder zur Konrolle während eines interventionellen, minimalinvasiven Eingriffs eingesetzt werden) bezeichnet.
Warum ist die Radiologie für die Medizin so wichtig?
Die bildgebenden Verfahren der Radiologie sind essenziell für die exakte, schnelle und schonende Diagnose, Behandlung und Kontrolle der meisten Krankheiten (und zahlreicher Verletzungen). Dank radiologischen Bildern (bis hin zu 3D-Modellen) können Operationen präzise geplant und durchgeführt (oder vermieden) werden. Zudem werden radiologische Verfahren (wie Mammografien) auch zur Früherkennung von Krankheiten eingesetzt.
Die bildgesteuerten minimalinvasiven Techniken der Radiologie spielen eine wichtige Rolle als Therapie zahlreicher Erkrankungen.
Ein Vorteil der Radiologie zeigt sich eindrücklich, wenn man die Zeit zurückdreht: Vor der Etablierung der radiologischen Techniken konnten Ärzte erst nach dem Ansetzen des Skalpells in den Körper blicken.
Röhre oder Ring?
Unsere Patientinnen und Patienten sprechen oft von der «Röhre» und meinen den Computer- und den Magnetresonanztomografen (CT und MRT/MRI).
Das MRT-Gerät ist röhrenförmig.
Die «Röhre» des CT-Geräts ist jedoch nur ein schmaler Ring.
Die Liegeflächen beider Geräte sind indes ähnlich breit: 80–100 cm bei der CT, 60–80 cm bei der MRT – mindestens so breit wie eine Luftmatratze.
Warum schmunzeln Radiolog*innen wenn Dr. House ein einzelnes MRT-Bild betrachtet?
Pro Computer- oder Magnetresonanztomografie müssen 300–5‘000 Einzelbilder ausgewertet werden. Radiolog*innen ‘scrollen’ daher durch Bildserien, analysieren diese aus verschiedenen Ebenen. Sie urteilen aufgrund umfangreicher Bilddaten und nicht – wie Dr. House – anhand eines einzelnen Bildes.
Um wieviel Prozent geringer als früher ist eine heutige Strahlendosis?
Moderne CT-Geräte haben die Strahlendosen von Untersuchungen in den letzten 30 Jahren um bis zu 75 Prozent reduziert, ohne die Bildqualität zu beeinträchtigen.
Geister im Bild?
Bei den ersten Röntgenaufnahmen gab es oft Bildstörungen oder «Artefakte», die als gespenstisch oder unheimlich empfunden wurden. Einige der Aufnahmen wirkten auf die Betrachter wie «Geisterbilder», weil sie Teile des Körpers zeigten, die man zuvor nicht sehen konnte.
Auch heute zeigen radiologische Bilder manchmal Überraschendes: Die Darstellung des Absaugsystems eines speziellen Verbands in der Computertomografie führte bei den Radiolog*innen der muskuloskelettalen Diagnostik zu Erheiterung.
Klingende Patient*innen?
Mit Röntgenstrahlen kann nicht nur lebendes Gewebe untersucht werden.
Auch Kunsthistoriker analysieren damit Bilder und Objekte. Zu unseren ungewöhnlichen Patientinnen gehörten denn auch schon fragile historische Musikinstrumente – eine Violine, ein Hackbrett und eine Querflöte.
Die Computertomografie brachte deren Innenleben, mitunter samt unbekannter Restaurierungsversuche, an den Tag und ermöglichte den originalgetreuen Nachbau.
Supermans Röntgenblick – oder für welches Gewebe eignet sich welches Verfahren?
Die Möglichkeiten der Radiologie haben Comic-Autoren zum «Röntgenblick» inspiriert. Damit blickt Superman durch alle Materialien (ausser Blei). Mittlerweile gibt es so viele Verfahren, dass Supermans Gegenspieler mit dem CT- oder MRT-Blick reagieren könnten.
Die Untersuchungen eignen sich jedoch stets für bestimmtes Gewebe, so z. B::
Röntgen: Knochen, Gelenke, einzelne Organe des Brust- und Bauchraums (z. B. Lunge, Herz, Darm)
Computertomografie (CT): Bauchorgane, Lunge, Gehirn, Knochen, Gelenke, Gefässe (die CT liefert äusserst genaue Schichtbilder oder dreidimensionale Aufnahmen)
Magnetresonanztomografie (MRT): Gelenke, Muskulatur, Fett- und Bindegewebe, innere Organe, Gehirn, Hals, Wirbelsäule (die MRT ist übrigens strahlungsfrei)
Ultraschall (Sonografie): innere Organe, Gefässe, Gelenke, Weichteile (z. B. Schild- und Bauchspeicheldrüse, Lymphknoten – mit dem Ultraschall liegt sehr schnell eine Beurteilung vor)
Radiowellen gegen Tumoren?
Tatsächlich setzt ein modernes radiologisches Verfahren Radiowellen (hochfrequente elektrische Energie bzw. Strom) ein, um verändertes Gewebe durch Hitze zu zerstören. Die Radiofrequenzablation ist sehr schonend und gut verträglich: Sie wird sehr gezielt, minimalinvasiv, und oft ambulant durchgeführt. Über einen kleinen Schnitt wird eine winzige Sonde zum Behandlungsort geführt, wo Hitze das veränderte Gewebe zerstört.
Mittels Radiofrequenzablation haben unsere interventionellen Radiologen ein Osteoidosteom, einen gutartigen, aber äusserst schmerzhaften Knochentumor (vgl. den Pfeil in der Abbildung) behandelt, der im 2. Halswirbel eines 6-Jährigen lag und entsprechend schwierig zugänglich war. Noch vor einigen Jahren wäre eine Operation mit grossen Risiken verbunden gewesen. Dank moderner Bildgebung war eine milimetergenaue Navigation der Sonde (über eine Nadel durch den Mund; vgl. die computertomografische Abbildung des Eingriffs) möglich. Der kleine Patient war bereits am Folgetag schmerzfrei.
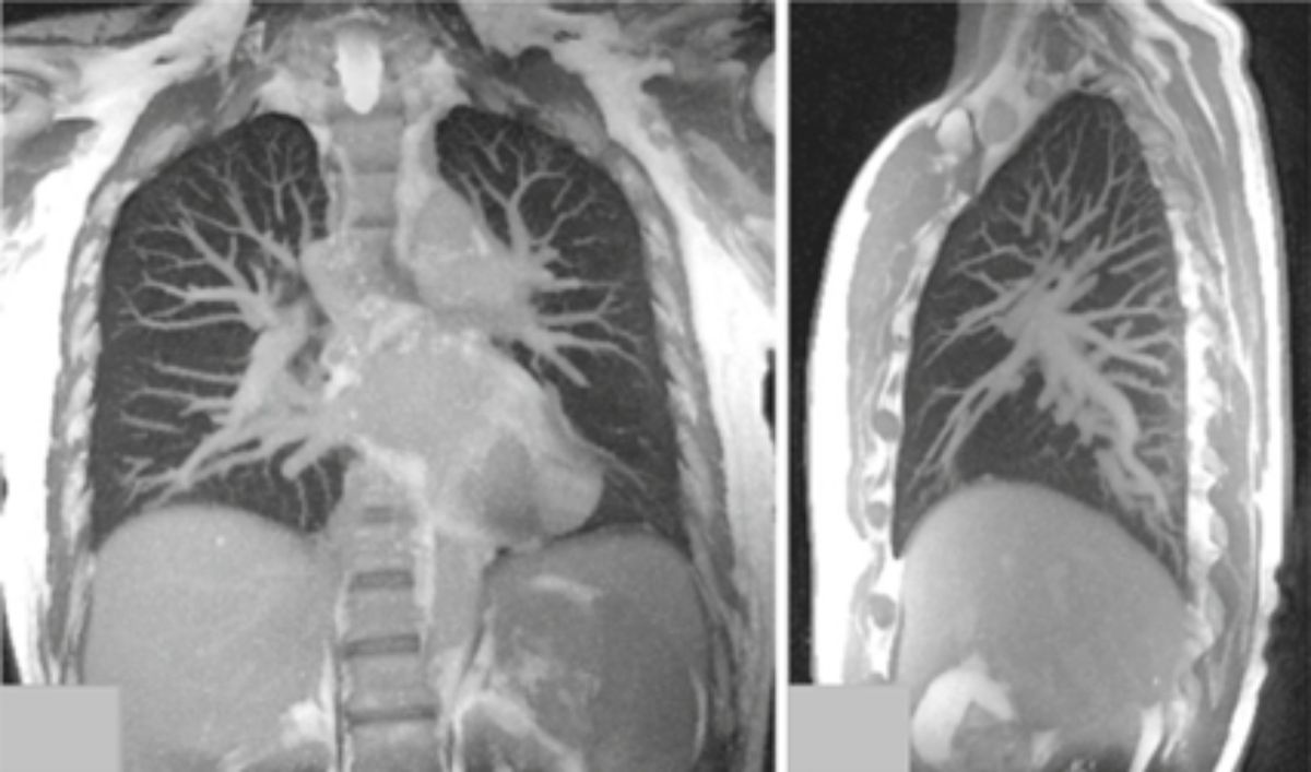
«Unsichtbar»?
«Unsichtbar» – vergleichen wir Bild und Urteil zur Lungenbildgebung mittels Magnetresonanztomografie (MRT/MRI) zeigt sich, was unsere Forschung erreicht hat. Bis vor Kurzem galt, dass die Lunge mittels der MRT nicht dargestellt werden kann. Die Probleme, eindeutige, verwertbare Signale zu erhalten, liegen primär am hohen Luftanteil und der stetigen Bewegung des Organs. Unsere Wissenschaftler*innen der radiologischen Physik forschen dennoch seit Jahren an entsprechenden speziellen Verfahren – mit sichtbarem Erfolg.
Was ist Nuklearmedizin?
Die Nuklearmedizin setzt spezielle radioaktive Substanzen (Radiopharmazeutika) zur funktionellen Diagnostik und zur Therapie von Erkrankungen ein:
- Diagnostik: Radiopharmazeutika werden verwendet, um Stoffwechselprozesse und Funktionen von Organen sowie Blutfluss sichtbar zu machen. Die Substanzen senden eine Strahlung aus, die von speziellen Kameras erfasst wird, z. B. bei der Untersuchung der Schilddrüse, des Herzens oder von Tumoren.
-
Therapie: Bei nuklearmedizinischen, sehr gezielten Behandlungen werden Radiopharmazeutika eingesetzt, die sich in krankem Gewebe, wie Tumoren, ansammeln und dieses gezielt durch Strahlung zerstören, ohne das umliegende gesunde Gewebe stark zu beeinflussen. Ein bekanntes Beispiel ist die Radiojodtherapie, die zur Behandlung von Schilddrüsenkrebs eingesetzt wird.
Wozu braucht die Radiologie ein Labor für radioaktive Substanzen?
In der Nuklearmedizin werden radioaktive Substanzen eingesetzt, um spezifische Funktionen des Körpers sichtbar zu machen oder erkrankte Zellen gezielt zu behandeln.
Die in der nuklearmedizinischen Diagnostik und Therapie eingesetzten Substanzen (Radiopharmazeutika) werden spezifisch für unsere Patient*innen hergestellt. Zu diesem Zweck gibt es am Unispital ein spezielles Labor der radiopharmazeutischen Chemie.
Was macht man in der radiologischen Physik?
Diese forschungsorientierte Abteilung entwickelt neue Magnetresonanzverfahren zur Verbesserung der Bildgebung verschiedener Organe.
Zudem arbeiten die Strahlenphysikerinnen und Strahlenphysiker, die für die Einhaltung und Optimierung des Strahlenschutzes am Unispital zuständig sind, in der radiologischen Physik.
Was macht man in der interventionellen Radiologie?
Die interventionellen Radiologie ist spezialisiert auf die Diagnostik und Therapie von Gefässkrankheiten, Entzündungen, Tumoren und Schmerzen.
Deren Ursachen werden mithilfe kleinster Instrumente gezielt und möglichst schonend behandelt. Die Behandlung wird daher als minimalinvasive Therapie bezeichnet.
Auf diesen Angiografie-Bildern sieht man die hintere Gehirnarterie: vor (links) und nach der Entfernung eines Gerinnsels (rechts).
Acht Abteilungen
Zu unseren acht Abteilungen gehören vier, die sich auf bestimmte Organsysteme spezialisiert haben:
- abdominelle und onkologische Diagnostik (mit der Sektion Mammadiagnostik)
- kardiale und thorakale Diagnostik
- muskuloskelettale Diagnostik
- diagnostische und interventionelle Neuroradiologie
Sie werden ergänzt durch die Abteilungen:
- interventionelle Radiologie
- Nuklearmedizin
Die beiden naturwissenschaftliche Abteilungen sind für die in der Nuklearmedizin benötigten Arzneimittel bzw. für medizinphysikalische Dienstleistungen und den Strahlenschutz zuständig:
- radiopharmazeutische Chemie
- radiologische Physik
Mit menschlicher und künstlicher Intelligenz
Unsere Radiolog*innen prüfen und nutzen sie nun schon seit Jahren: die künstliche Intelligenz. KI-unterstützt erkennt und analysiert eine von unserern Wissenschaftlern entwickelte Software vollautomatisch anatomische Strukturen in Computertomografien, so etwa diesen Aortenbogen.