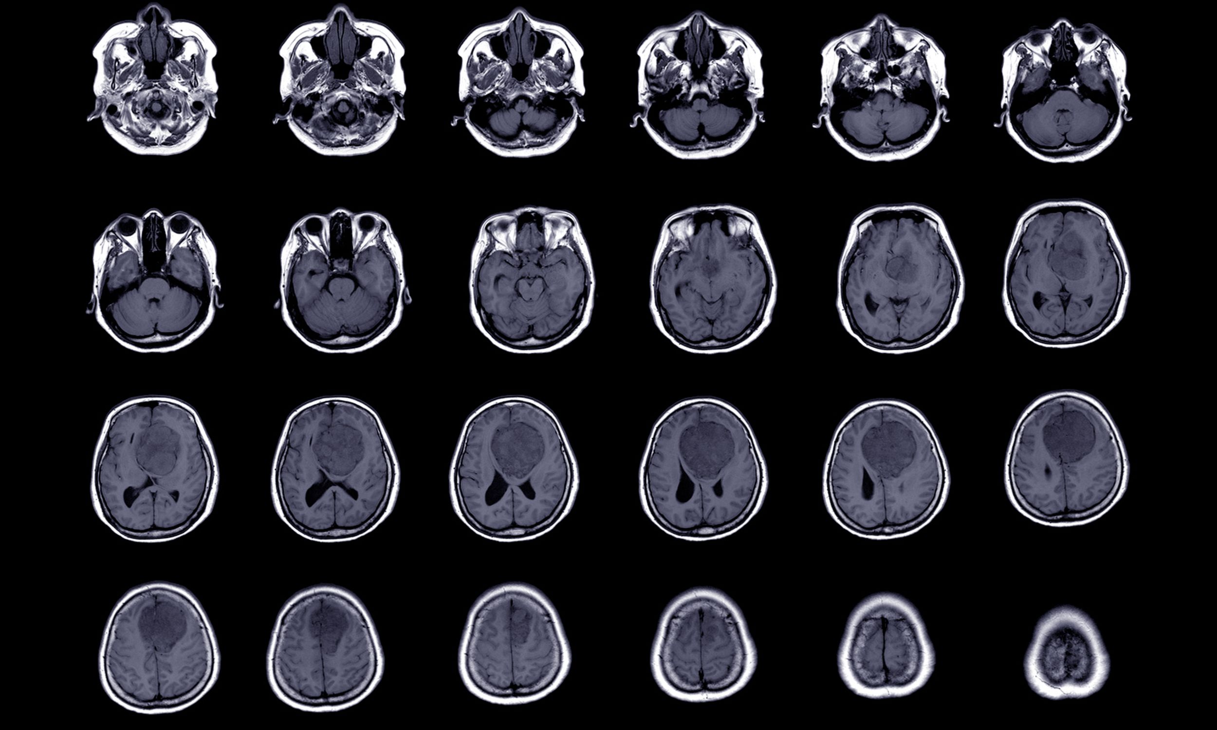
Meningeome
Symptome
Meningeome wachsen meist langsam und bleiben lange unbemerkt. Beschwerden entstehen häufig erst durch Druck auf benachbarte Hirnstrukturen und können Kopfschmerzen, Sehstörungen, Sprachschwierigkeiten oder Lähmungen umfassen.
Diagnostik
Die Diagnose wird in der Regel durch eine Magnetresonanztomographie (MRT) gestellt. Manchmal wird ergänzend eine Gewebeuntersuchung (Biopsie) durchgeführt, um die Art des Tumors sicher zu bestimmen.
Therapieoptionen
Da Meningeome meist gutartig sind, reicht in manchen Fällen eine engmaschige Kontrolle aus. Bei Beschwerden oder größerem Wachstum stehen operative Entfernung und moderne Bestrahlungsverfahren zur Verfügung. Die Behandlung wird individuell abgestimmt und im Tumorboard besprochen.
Prognose
Meningeome haben in den meisten Fällen eine günstige Prognose. Häufig lassen sie sich durch eine Operation vollständig entfernen, sodass eine dauerhafte Heilung möglich ist.
„Dank hochmodernen Verfahren lassen sich Meningeome heute meist schonend und zugleich effektiv behandeln. Das ermöglicht häufig eine langfristige Heilung bei grösstmöglicher Sicherheit.“
PD Dr. Dominik Cordier